Новочебоксарка чуть не потеряла стопу во время работы по дому
- 25 марта 11:25
- 16+
- Даниил Медведев

Домашний ремонт для жительницы Новочебоксарска закончился больничной палатой. Во время работ по дому женщина случайно ударила себя топором по правой стопе. Об этом сообщает Минздрав Чувашии.
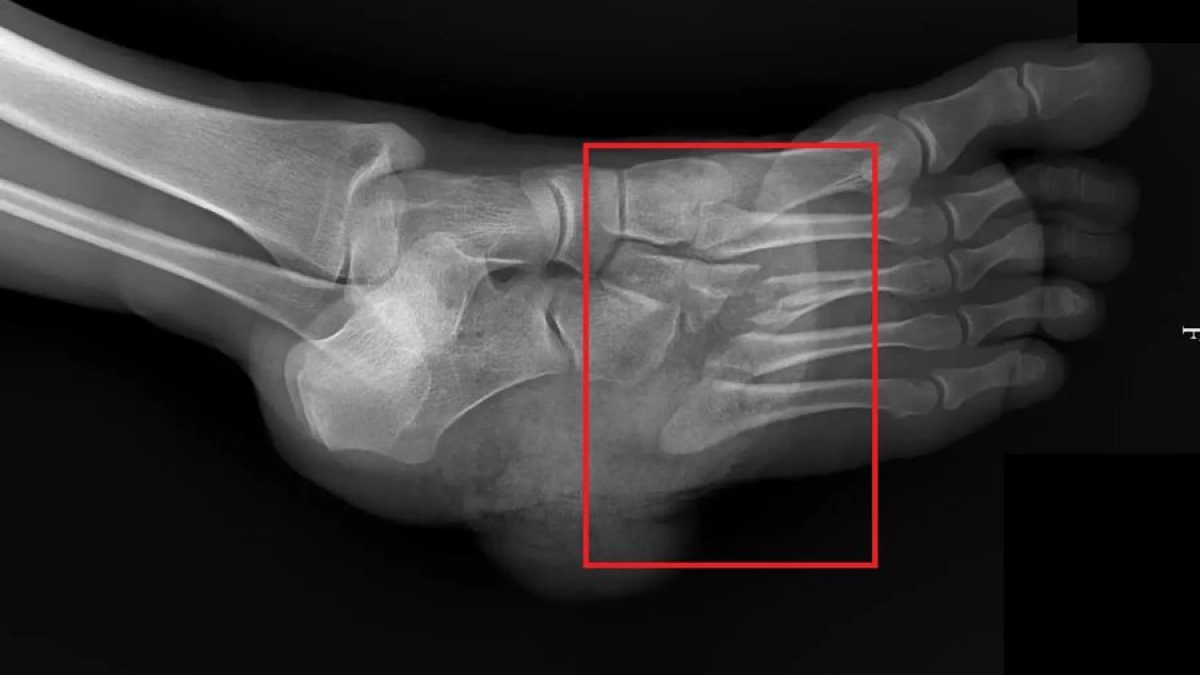
Пострадавшую на скорой доставили в травматологическое отделение. После осмотра и рентгена врачи решили, что медлить нельзя, и пациентку сразу отвезли в операционную. Хирурги занялись восстановлением поврежденных костей и сухожилий стопы.
Через несколько дней женщину выписали домой на дальнейшее лечение под наблюдением поликлиники, ей предстоит реабилитация и выполнение всех рекомендаций врачей.
"Работа с острыми и тяжелыми инструментами требует особой осторожности… В данном случае, оперативное реагирование позволило сохранить стопу пациентки", – сообщил заведующий травматологическим отделением Алексей Доманов, напомнив о важности соблюдения техники безопасности при любых домашних работах.